AI implementation and applications by Pierre Elias
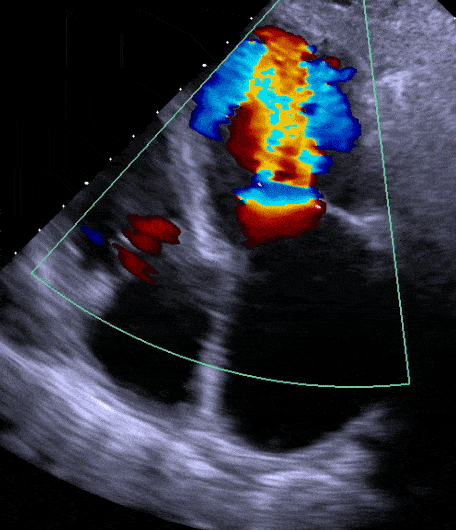
The lecture discussed the current state of AI in Healthcare, focusing on medical imaging and how it may augment a cardiologist's expertise and practice. The goal, of course, is to match or indeed outperform the clinician's/expert's performance here (the latter being the Gold Standard). The assertion was that it will fundamentally transform this field over the next few years. The example supplied was ValveNet, a model that attempts to predict Valvular Heart Disease (VHD) using Deep Learning[^1]. The model uses data from Electrocardiography (ECG/EKG) which is different from Echocardiography. The former is familiar: you apply probes to the patient's chest and get the QRS graphs ("Complex"[2]). The latter involves ultrasound and is more time-consuming and expensive (a kind of sonogram for the heart; very visual). The goal of the model (which indeed fits into the larger goal of AI in Healthcare) then, is to use cheaper and common (yet noisy?) data generation techniques to match the accuracy one would obtain from expensive and inaccessible solutions: Cardiologists cannot just use Electrocardiograms to diagnose VHD! EchoNet (2005)[3], "trained on more than 1 million heart rhythm and imaging records" using Deep Learning techniques has shown very high diagnostic accuracy and outperformed experts and is a promising sign of the potential of AI in medicine.
Discussion on how to realize productivity gains, especially in housing, healthcare, and education. Discussion on how LLMs can be 'poisoned' with misleading/absurd data, which itself is becoming a scarce commodity when it comes to developing future versions of existing models.

